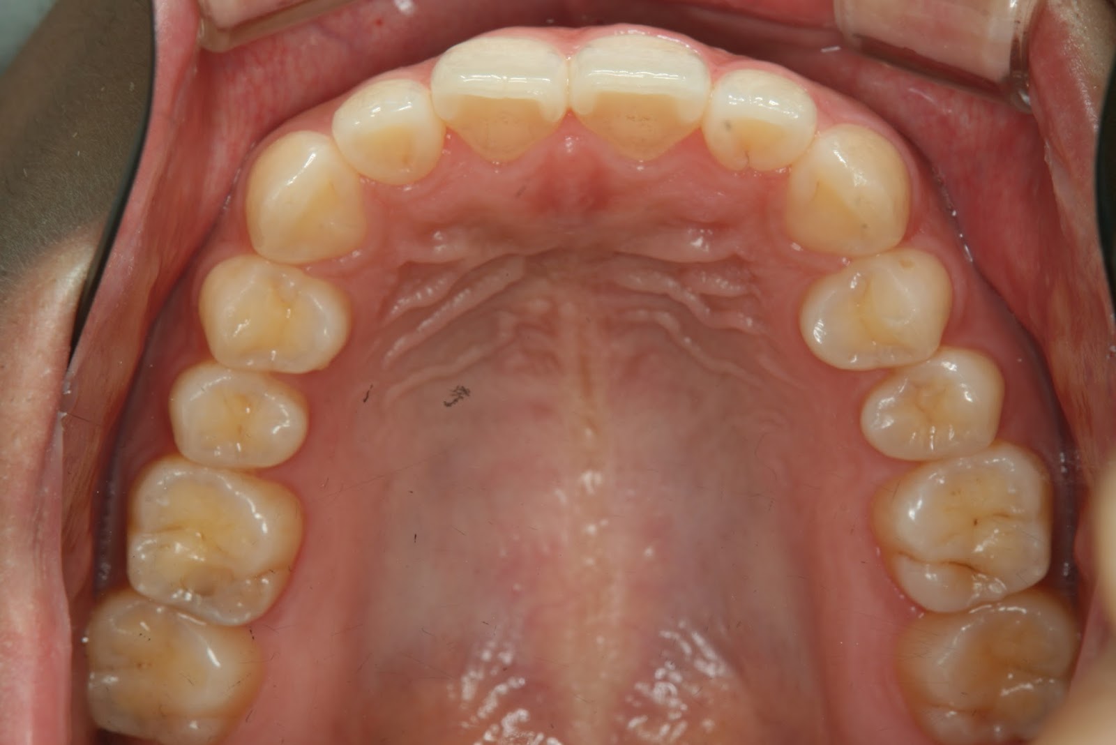
ちょっとグロテスクに感じる方もいるかもしれませんが、私はこんな光景を毎日眺めながら仕事をしています。
ある人が、要らないと思い、手術をして切り取ってしまったそうです。
そうしたらどうでしょう? 食べた物が気管に入りやすくなり、むせるようになってしまったそうです。
何のためにあるのか分からない組織ですが、誤嚥を防ぐという大切な役割りがあったのです。
これらの人体の構造は遺伝子によって決められています。
一人の人間の細胞内にある遺伝子をつなぎ合わせると、太陽系をはるかに超える長さ(740億km)になります。
そんな長大かつ精緻な遺伝子が、偶然が重なって出来上がるはずはありません。
無限なる叡智によって設計され創られたと考える方が、遥かに自然です。
人体に無駄なものがないのはそのためです。
生命が生まれるのも死ぬのも自然現象の一環です。
自然現象は自然法則の働きによって起こります。
地球上には800万種以上の生命がいると言われています。
この世に存在している全ての生命は、無限なる叡智によって創られた自然法則の働きによって生まれて来ています。
生命に無駄なものは存在しません。
少し強引かもしれませんが、地球上の生命を人体に見立てたとします。
人類は人体の一部の組織であり、個々の人間は組織を構成する細胞と言えます。
その他の大部分の細胞は、人類以外の生命によって構成されています。
それぞれの細胞が協調的に働くことによって、生命活動が営まれています。
全ての細胞は同じ血液が流れることによって生かされているように、全ての生命は同じ生命力が流れることによって生かされています。
生命とは霊です。
全身の細胞は、同じ血液が流れてつながっているように、全ての生命は同じ生命力が流れて「霊的」につながっています。
それぞれの細胞に何らかの役割りがあるように、それぞれの生命に何らかの役割りがあります。
必要とされて存在していますが、全体があまりにも大きく、お互いの関係が分からないためにそう思えません。
自然法則の働きの中に、神の心が顕現しています。
神の心の根底にあるのは「愛」であり「調和」です。
全体のために役割りを果たそうとする力が愛です。
愛は魂に内在する神から発せられています。
愛を表現することによって、全体に調和がもたらされます。
悲しいことに、地球で最も進化している人間が調和を乱しています。
同胞(人間)と争い、他の生命を虐げています。
まるで、周囲の組織を押しのけて増殖する利己的なガン細胞のように感じられる時があります。
![]() |
| 地球温暖化の影響で餓死しかけているシロクマ |
なぜそのようなことが起きるのでしょうか?
全体が見えていないからです。
生命のつながりが分からないからです。
地球は強烈なオーラを放つ1つの生命体のように見えます。
この星に生まれて来たのは偶然ではありません。
自らが成長する最適な場所として選んでいます。
全体のために役割りを果たすことで、個々は進化成長します。
難しいことではなく、良心に従って行動することで、役割りを果たしていると考えています。
それにより調和が促され、霊的に美しい世界となって行きます。













